创伤专业
您的位置: 骨科在线创伤专业学术园地-典型病例列表页
意外跌倒之后
106299
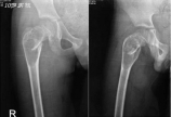
李某,女,汉族,81岁,某厂退休工人,75kg。走平路时跌倒致左髋部疼痛、活动受限10天。患者10天前散步时,因躲闪对面行人不慎跌倒致左侧肢体着地,当即感到左髋部疼痛、站立和行走困难。摔倒时无昏迷、恶心呕吐、胸腹腰部疼痛二便失禁等。卧床休息数日后,疼痛未见减轻,且不能站立,于附近诊所拍X线片示:“左股骨颈骨折”为进一步治疗来我院就诊。受伤以来,患者精神好、神志清楚,生命体征平稳,饮食及二便正常。辅助检查:实验室检查:血常规:RBC2.0×10E12/L    HGB85g/L    WBC6.44×10E12/L离   子:钠128.0mmol/L    氯90.4mmol/L   钙2.2mmol/L血   糖:空腹6.2mmol/L血   凝:D-二聚体18.45mg/L   A L P  : 148 U/LX线片:Garden III型下肢血管彩超:左股浅、腘静脉血栓形成(完全充填型)BMD检查:诊断与鉴别:左股骨颈骨折   左下肢静脉血栓形成   高血压病I级   胆囊摘除术后   骨质疏松症
骨质疏松
35034
“问倒老师系列”之六:儿童股骨近端骨囊肿伴病理骨折
106292
一例儿童股骨近端骨囊肿伴病理骨折的处理策略(EBM分级:专家意见)Senior doctor: Manuel Cassiano Neves MD, MSc (EFORT President 2013-2014)EFORT: European Federation of National Associations of Orthopaedics and Traumatology …………………………………………………………10 y/o boy (otherwise healthy) complaints of R hip pain after falling on the ground, no relevant history previously.PE: R hip limited range of motion with local tenderness.Junior doctor: Which imaging do we need for further differential diagnosis at this moment (3 days after injury)? Is MRI helpful for differential diagnosis with aneurysmal bone cyst at this time?Senior doctor: It looks to me this is a unicameral bone cyst (from the X-ray and CT scan) but as always I like to have a confirmation. For ABC you will see different cavities with liquid inside... but in case it will be difficult to have an MRI I would stay with the CT scan already done.I do not think you need any further image BUT YOU NEED TO DO A BIOPSY AT THE TIME OF SURGERY.Junior doctor:For this kind of cyst lesion, how to do the biopsy? You mean "needle aspiration" with a needle? Can we get a definite diagnosis with biopsy?Senior doctor: Yes usually I aspirate with a needle and if it an exsudate for sure it will be a cyst if it comes blood you have to think about an aneurysmal bone cyst. The treatment for ABC I recommend primarily curettage and bone grafting but with high percentage of recurrence. This is why I treat both lesions in the same way at first attempt.Junior doctor: What’s your treatment plan?Senior doctor: The fracture is in varus and one of the complication will be mal-union or non-union or recurrence of the cyst.So I suggest: Put the child on a fracture table under GA and put the femoral neck in valgus. Do a curettage by a percutaneous incision. Stabilize the fracture with internal fixation. In this particular case where we have a big cyst almost going to the growth plate it is not easy for stabilization. Since is already 10 years of age I would not mind to cross the growth plate... (in the worst scenario you can always make an epiphysiodesis in the contra-lateral side). By crossing the growth plate you will gain better stabilization!Junior doctor: Can we consider internal fixation for this child, if so, which kind of instrument you would like to select?Senior doctor: Definitely in this particular case I will use ELASTIC NAILS and will complement it with an injection of Metilprednisolone according to Campannacci.Junior doctor: Do you think skeletal traction will be just ok?Senior doctor: As I said this fracture is prone to complications so I will definitively would not treat just with traction.Junior doctor: If it is aneurysmal bone cyst, do you still consider ESIN to stabilize/cure it? What's your treatment strategy for aneurysmal bone cyst with fracture?Senior doctor: If it recurrs I will do an open procedure to excise the membrane, use alchool to "burn" the surface, bone grafting and stabilization probably in this case with a special AO plate for the proximal femur (LCP) with locking screws. But I am confident that the ESIN initial approach will be enough (in my experience in this region - 9 cases all healed with this method.Junior doctor: How do you think of the results?Senior doctor: The x-rays look fine to me so let's wait. Just one simple technical note. Since the fracture is very high sometimes I put the 2 nails in the femroal neck instead of one in the trochanteric region... You can also consider using Endcap technique to improve the longitudinal stability like below, but it's up to the surgeon to decide.…………………………………………………………………………………………以下内容由TJPO ZQChen根据文献编译:单纯骨囊肿  自从1876年Virchow首次报道后,单纯骨囊肿逐渐被人们认知。单纯骨囊肿为累及管状骨及扁平骨,并致局部膨胀、菲薄的骨皮质内充满浆液的瘤样病变。80%病例发现于3-14岁儿童,平均年龄为9岁。约占骨骼肿瘤的3%,男:女约为2-3:1。  病理生理:  单纯骨囊肿的病因尚不明确,目前较为认可的病因理论是Cohen提出的骨内静脉回流障碍学说,骨内静脉回流障碍导致骨内高压,增加破骨活性,致局部骨质破坏。  自然史:  单纯骨囊肿最初发生于临近骺板的干骺端,随生长发育逐渐远离骺板。临近骺板的病变常表现出更强的活动性,和远离骺板的病变相比,更容易进展和复发。临近骺板的活动性骨囊肿可能会影响长管状骨的纵向生长。10岁前发病者,囊肿多距骺板较近,可能为活动性的,10岁后发病者,病变多远离骺板,多逐渐转为静止,骺板闭合后骨囊肿很少再进展。  临床表现:  骨囊肿起初常无症状,临近关节可出现疼痛、肿胀及活动受限,发生于表浅骨骼者可触及局部骨骼膨隆、局部压痛,部分病例在发生病理骨折时,或在拍摄X线片时偶然发现。病理性骨折为本病最常见并发症,发生率约66%。部分病例因病变局部受力异常发生肢体畸形。  解剖因素:  单纯骨囊肿可累及管状骨及扁平骨,约94%单纯骨囊肿发生于肱骨及股骨近端,且肱骨发病率比股骨高2-3倍。其他可累及骨还有跟骨(2%)、髂骨(2%)、距骨及胫骨等。发生于扁平骨的病例,年龄多>12-17岁,因其病变部位较深且多无症状,故发现较晚。  诊断方法:  X线片:病变可累及长骨干骺端或骨干,极少累及骨骺,典型病例常表现为局部骨髓腔中心性膨胀,X线透射率增高,周围由薄层骨质包裹,边界清楚,囊肿纵轴常大于其横径,且囊肿横径常小于相邻骺板宽度;除非发生病理性骨折,周围常无骨膜反应。囊肿不会突破骨皮质、层状骨膜反应及Codman三角。  “落叶征”:是多房型骨囊肿的特殊X线表现。当发生病理性骨折时,一侧菲薄的骨皮质断裂形成游离骨块,并坠入囊腔内(常未充满液体),骨块浮于液面,也可部分浸入液体内。多见于骨骼成熟或邻近成熟病例。  CT:通常X线片即可提供诊断骨囊肿的充足信息,但CT扫描有助于评估所有部位的骨囊肿,尤其是骨盆骨囊肿。当囊肿发生于骨干中间或非典型部位时,CT可充分显示病变累及范围。  MRI:典型骨囊肿常表现为均一短T1及长T2信号。但这很难鉴别小于8岁患儿的单纯骨囊肿及动脉瘤样骨囊肿。穿刺取活检:对于年龄<10岁患儿,无论单纯骨囊肿还是动脉瘤样骨囊肿均可穿出血性液体,故穿刺并非诊断单纯骨囊肿的可靠手段。有极少小年龄病例,特别是<5岁者,单纯骨囊肿可突破骺板。  囊肿肉眼观:  囊肿内可为单房,或多个不完整间隔分开的多房囊肿,其间隔被证实为正常骨质。囊腔内充满淡黄色、低粘性的浆液。经分析该浆液内含有前列腺素(特别是前列腺素E),白介素1β及蛋白酶,如胶原蛋白酶等。这些成分可介导增加破骨活性。  鉴别诊断:  动脉瘤样骨囊肿:X线片示病变扩张程度及骨皮质菲薄程度及发病部位可能有利于鉴别,动脉瘤样骨囊肿多为偏心性,常扩张更明显,且囊内可见斑片状或点状钙化。动脉瘤样骨囊肿呈多房性且MRI可显示液-液平面。穿刺囊内为不凝血。患者常有进行性局部疼痛、肿胀。  骨巨细胞瘤:多见于成人。局部痛性肿块为主要症状。病变常见于长骨骨骺。X线片显示为偏心性、膨胀性溶骨性破坏。  骨纤维异样增殖症:股骨颈及肱骨近端纤维异样增殖症继发骨囊肿者并不少见。囊肿周围骨异常膨胀、呈毛玻璃样、囊肿周围硬化骨壳较单纯骨囊肿宽改变利于鉴别。小儿病例常见于多骨型FD。  骨肉瘤:单纯溶骨肉瘤可误诊为骨囊肿。一些骨肉瘤变异或形成假包囊时,较少出现临床症状,影像学表现类似骨囊肿。在影像学上毛细血管扩张型骨肉瘤、Ewing肉瘤也可类似于骨囊肿,但这些恶性肿瘤常表现出更强的侵袭性。  治疗:  治疗的目的在于预防所有可能的并发症及肢体功能障碍。目前单纯骨囊肿尚无统一的首选治疗方法。  单纯植骨:因其较高的复发率(12%-45%),已很少采用。  刮除植骨:行囊内刮除后植骨大大提高了囊肿愈合率,但手术创伤较大,并发症较多,如术中及术后骨折等。  经皮穿刺局部注射激素:最早由Scaglietti报道,其病例成功率可达90%。该方法因其效果可观、操作相对简单、并发症较少,应用较为广泛,但多数病例需反复多次注射直至病灶完全吸收或趋于稳定。该方法是70-90年代治疗肱骨骨囊肿的最流行方法。经皮穿刺自体骨髓移植:近些年,有研究用自体骨髓替代激素作为穿刺注射物,证实自身骨髓对诱导成骨有一定的优势,在一定程度上缩短病程,减少了注射次数。  治疗理念:  通过多因素研究分析证实,影响治疗成功与否的关键因素是患者年龄,无论选择何种治疗方法,>10岁患者成功率(90%)远高于<10岁患者(60%)。  无论治疗与否,在骨骼成熟后,囊肿趋于稳定,但病变部位无法转为影像学正常骨骼。治疗骨囊肿的目标是中止进行性的骨质破坏,获得可正常受力的、功能上稳定的骨骼,而非追求正常的X线表现。有学者认为90%的单纯骨囊肿可保守治疗。  相反,若囊肿累及承重关键部位(如股骨颈、跟骨),且有较高风险发生病理骨折时,或经系列X线片随访证实即将发生病理骨折时应积极手术治疗。  需强调的是,在尝试任何手术或穿刺注射治疗前应确保病理骨折以愈合;但对移位的股骨颈或跟骨后柱病理骨折,可行切开复位内固定以恢复正常血运及解剖完整性以降低远期功能障碍。1.Ulici A, Balanescu R, Topor L, et al. The modern treatment of the simple bone cysts.J Med Life. 2012 Dec 15;5(4):469-73. Epub 2012 Dec 25.2.Norman A, Schiffman M.Simple bone cyst :factors of age dependecy. Radiology. 1997;124:779-782. 3.Conway WF, Hayes CW.Miscellaneous lesion of bone. Radiol. Clin. North Am. 1993;31:339-358.4.Rafath Baig,and John L. Eady. Unicameral (Simple) Bone Cysts.South Med J. 2006 Sep;99(9):966-76.5.Hunt KJ, Bergeson A, Coffin CM, et al. Percutaneous curettage and bone grafting for humeral simple bone cysts.Orthopedics. 2009 Feb;32(2):89.6.A.L. Baert, Leuven,M. Knauth, G?ttingen et al. Imaging of Bone Tumors and Tumor Like Lesions -Techniques and Applications. 2009
小儿骨科
35044
“问倒老师系列”之五:儿童股骨干骨折——长度不稳定型
106291
  在应用弹性髓内钉固定治疗儿童长度不稳定型股骨干骨折时,在常规ESIN技术原则之外,我们还需要特别注意哪些……  学生:这是个5岁4个月男孩,摔伤致右股骨干骨折,可以用弹性髓内钉固定吗?要是应用ESIN固定,有什么特别需要注意的吗?  老师:可以行弹性钉固定。但是,在应用时除常规技术要点之外,以下几点需要特别注意:a、属于典型的“长度/纵向不稳定骨折”,采用传统方式的弹性钉固定术后存在骨折再移位进一步短缩的风险,采用“尾端加帽”技术有助于降低此种风险;b、骨折位置高,固定时弹性钉钉尖内外侧应达到股骨转子间水平,以形成充分的弹性支撑;c、术后髋人字位石膏固定。  学生:什么叫长度不稳定?  老师:英文称之为“length-unstable fractures”,国内也有学者称之为“纵向/轴向不稳定”。目前大家比较接受的概念是“骨折端粉碎或者长斜型、长螺旋型骨折,后两者斜行骨折线长度超过骨折端直径两倍”。对于“长度不稳定股骨干骨折”尾端是否锁定,TSRH有一项研究,"无锁定"髓内针比"锁定"者,用于治疗儿童长度不稳定型股骨干骨折,其术后再移位程度存在显著差异。  学生:应用尾帽技术如何能增加弹性髓内钉固定后的稳定性?  老师:对长度不稳定型股骨干骨折,弹性髓内钉固定后可能发生再短缩,最大可能就是相对最薄弱的钉尾向外退出,甚至穿出皮肤,而利用在弹性钉尾端加帽把钉尾固定于入钉点处干骺端骨质,所以可大大降低钉尾退出或穿出皮肤的风险,进而避免骨折处发生固定后的短缩移位,因此可以增加这种长度不稳定骨折固定后的稳定性,特别是在对抗“轴向不稳定”方面。  学生:术后必须行髋人字位石膏固定吗?  老师:国内对此尚无统一意见。  有学者认为,Spica给术者带来术后的稳定和放心,不能等有了失败的经验,再想到原来如此。无论如何,ESIN不能称作是坚强的内固定,对儿童,外固定仍然是成功的重要保证。并且,数周的spica固定一般不会造成孩子的髋、膝关节功能障碍。  但是,也有反对意见认为:在ESIN规范的适用指征下,其完全可以成为坚强内固定。 为什么外国人并不通常在ESIN后使用外固定,只是对于大龄,肥胖的,过于靠近近端和远端的骨折,才考虑辅助术后外固定。而我们却在一概而论地常规使用外固定。我们往往把很多国内医生不能规范使用TEN做为我们辅助使用外固定的借口。强调要规范地、严格遵守ESIN的应用原则。  我个人认为:Spica可能不是唯一的办法,核心是给孩子一个制动。如果手术技术非常好,能做到完善、专业的术后管理,可能真的不需要spica。目前国内各家尚无统一意见,肯定都有成功也有相对不理想的病例,谁也没有有力的证据说服谁。在基于更高级证据研究出现之前,特别是对于大龄、肥胖、原始不稳定的股骨骨折,可能所谓的“个体化”选择更适宜。需要综合考虑患儿自身及家庭相关因素、损伤暴力、骨折类型与部位、术者的技术及术中具体情况等。  对此,JBJS有篇关于ESIN并发症的文献建议: For the femur, we routinely use ESIN for length-unstable fractures, fractures in older and heavier children, and proximal (subtrochanteric) or distal (metaphyseal) fractures. We prefer stainless steel nails, postoperative immobilization, and a delay in weight-bearing until early callus is seen on radiographs.  学生:像下面这个类似病例,手术后片您怎么看?  老师:骨折对位挺好,有几点可以做得更好的地方:1)钉预弯弧高不足,特别是内侧钉偏直,所以两钉产生的侧方应力不对称,可能是骨折端对位不良的原因之一;2)骨折位置较高,钉尖需要置入达转子间水平;3)内侧入钉点偏高,钉尾没有很好的沿股骨方向可能容易导致钉尾“激惹”;4)骨折为“长度不稳定型”,内固定强度不够术后可能发生骨折再移位出现继发短缩移位;5)弹性钉在打入过程中避免太多扭转和调整,否则初始预弯的弧度容易丢失。Sink EL, Gralla J, Repine M.Complications of pediatric femur fractures treated with titanium elastic nails: a comparison of fracture types. J Pediatr Orthop. 2005;25(5):577-80Henry Bone Ellis, et al. A Comparison of Locked Versus Nonlocked Enders Rods for Length Unstable Pediatric Femoral Shaft Fractures. J Pediatr Orthop 2011;31:825–833Shital N. Parikh, et al. Complications of Elastic Stable Intramedullary Nailing in Pediatric Fracture Management. J Bone Joint Surg Am. 2012;94:e184(1-14)……………………………………………………………………………………说明:病例资料及部分观点来自漳州Hong&Zhuang及小儿骨科群。By: Jeff Fu
小儿骨科
35044
“问倒老师系列”之四:儿童陈旧孟氏骨折(一)
106290
  学生:这是个13岁男孩,摔伤右肘致“右孟氏骨折”,行尺骨切开复位钢板内固定。术后两个月发现桡骨头脱位,行翻修手术“环状韧带重建+尺桡骨近端克氏针固定”。您预测翻修术效果会怎么样?  老师:我预计翻修术必然失败。原始新鲜孟氏骨折包括桡骨头向前脱位和尺骨向前成角的骨折,恢复尺骨的长度纠正成角是获得并维持桡骨头复位的重要要素。手术时尺骨骨折处没有做到解剖对位,遗留尺骨向前弓形弯曲,即所谓的“尺骨弓形征”。这是初次手术效果不佳的原因,翻修术没有解决这个问题,单纯的做环状韧带重建,即使尺桡骨近端用克氏针勉强固定,仍避免不了桡骨头再脱位。因为在处理孟氏骨折或陈旧孟氏骨折时,肱桡关节不能获得复位或复位后不稳定,除了可能存在软组织阻挡之外,尺骨的骨性畸形是关键的因素。尺骨畸形不纠正,即使术中通过软组织可以获得复位,这种复位也肯定是不稳定的,即所谓“软的管不住硬的”。  学生:嗯,您预测的非常准确,在翻修术后6周发现桡骨头再次向前脱位。您会考虑怎么翻修?  老师:像刚才分析的一样,我还是认为尺骨畸形是我们必须要纠正的。另外,还可以看到桡骨近端较术前变细变形,提示我们如果不矫正尺骨畸形单纯行环状韧带重建术的话难以阻止桡骨头脱位的趋势,容易导致失败。二次手术我会考虑做肱桡关节探查,尺骨截骨,使截骨端向后成角并适当延长,固定方式我个人习惯用单臂外固定架固定,我想用钢板固定应该也可以。  学生:我看到2009年JBJS有学者报告做尺骨向后弯曲延长截骨(bending osteotomy)钢板固定治疗儿童陈旧孟氏骨折,您怎么看?  老师:这篇文献回顾分析对22例平均十岁的儿童陈旧孟氏骨折行肱桡关节切开环状韧带重建+尺骨向后弯曲延长截骨,认为临床及影像学结果是令人满意的,分析效果不佳与手术时年龄大于12岁及伤后时间超过3年可能有关。核心是做环状韧带重建同时纠正尺骨的骨性畸形。对类似病例,我们也利用钢板做了一些矫形后的固定,像下面这个5岁的女孩,在伤后4个月时我们只是做了尺骨的向后弯曲截骨钢板固定获得了满意的效果。  但是,需要注意的是,文献只考虑了尺骨矢状面的弯曲畸形,并没有考虑尺骨的畸形并不总是那么单一。  学生:尺骨畸形难道不就是向前弓形弯曲吗?  老师:对的。除了矢状面的向前弯曲畸形之外,尺骨可能还存在冠状面的异常。对具体每个病例,还需要分析是否存在冠状面的异常。另外,在陈旧孟氏中我们还发现Bado分型没有包括的一个有意思的现象,就是桡骨头有时候可能会向尺侧半脱位,外观会表现出明显的肘关节外翻。像下面这个孩子就很典型。为什么桡骨头会和原始骨折时表现出不一样的移位方向,对桡骨头来说位置相对偏前偏内侧的肱二头肌腱的持续牵拉可能是其解剖学基础。  学生:这么说,陈旧孟氏骨折时尺骨畸形有时候可能是二维的?那对这部分病例在矫形固定时有什么特别需要注意的吗?  老师:可以这么说。  根据解剖研究,尺骨近端存在向桡侧的弯曲,在成人,弯曲成角平均是17.7°。  对尺骨存在二维畸形的病例,在术前需要充分认识到这一点,尺骨截骨端除了要适度延长、向后弯曲之外,还需要根据尺骨冠状面成角情况相应的向桡侧或向尺侧成角,尽可能恢复冠状面的尺骨解剖。像上面这个病例,我们就是通过肱桡关节切开复位+尺骨截骨矫形,使尺骨截骨端向后+向桡侧成角。术后复查肱桡获得稳定对位,同时矫正了肘外翻。  学生:可能还存在水平面的旋转异常吗?  老师:对这一点目前还没有很好的相关研究。但是,在术中确实发现肱桡关节在前臂旋前或者旋后时更稳定,这时候可以做截骨端的相对旋转以利肱桡关节的稳定。多数情况下是让尺骨截骨远端相对内旋(近端相对外旋/前臂旋后)有利于稳定。但是,目前有学者对尺骨截骨端是否可以/应该旋转存在争议。  学生:截骨端需要常规延长吗?有研究认为在陈旧孟氏中,尺骨并没有像传统认为的真的变短了,是这样的吗?  老师:我认为尺骨截骨端的延长只是手段而不是目的,并不是为了延长而延长,是否需要延长或者延长多少取决于肱桡关节的稳定性。  学生:固定方式的选择呢?到底是钢板好还是单臂外固定架更好?  老师:我认为对于尺骨单一畸形病例而言,两者应该都是适合的,但是当尺骨存在二维畸形时,由于钢板难以做到二维折弯,单臂外固定架在三维、即时调整方面更有优势。在用钢板固定时,需要注意矫形目的和内固定效果不能相互冲突,钢板用于矫形目的时同样应遵从不同类型钢板的一般原则。钢板选择或者应用不当有可能会导致截骨端的对位丢失。同样的,钢板至于正后侧、偏桡侧或偏尺侧同样基于矫形目的。在采用钢板固定时,有学者建议应选用相对坚强的钢板。  学生:在应用单臂外固定架矫形陈旧孟氏时,有什么需要注意的技术细节吗?  老师:有几点需要注意:a、需要遵从单臂外架的一般原则,例如外架与皮肤的距离、铰链安放位置与截骨点的相对位置、截骨远近端臂与截骨远近端应平行、近远排半钉应在同一平面上避免相对旋转等等;b、单臂外架不是坚强固定,只是“牢固固定”,固定术后截骨端可能发生松动,需要密切随访及时调整。  学生:尺骨截骨端都需要矫枉过正吗?尺骨过度的成角对维持肱桡关节可能有利,但是是否会影响外观或者造成尺桡骨间的关系异常从而影响前臂旋转功能?  老师:好像是这样的,多数情况下重建尺骨成“解剖对位”对于肱桡关节稳定性好像总是不足够的,一般需要让截骨端矫枉过正。尺骨的矫枉过正是否会影响前臂旋转功能尚待进一步研究。  学生:需要常规做环状韧带重建吗?  老师:首先,关于环状韧带到底是修补还是重建存在争议。有学者研究发现,在儿童陈旧孟氏骨折中,多数情况下环状韧带是完整的,可以加以利用。几点体会:a、不纠正尺骨畸形单纯环状韧带重建/修补是不足的;b、我们一组21例的陈旧孟氏骨折病例随访研究,所有病例只行肱桡关节探查,均未行环状韧带重建/修补,尺骨截骨端行钢板或单臂外架固定,虽然有几例应用单臂外架病例术后需要二次调整,但最终仅一例小年龄患儿出现再脱位;c、我们的病例应用单臂外架固定后需要二次调整是由于外架的非坚强固定性质还是由于未行环状韧带重建/修补尚不可知。相关文献:1.    Lincoln TL, Mubarak SJ. "Isolated" traumatic radial-head dislocation. J Pediatr Orthop 1994;14:454–457.2.    Nakamura K,et al.Long-term clinical and radiographic outcomes after open reduction for missed Monteggia fracture-dislocations in children.JBJS(Am). 2009 91(6):1394-4043.    Gunther Windisch, et al.The anatomy of the proximal ulna. Journal of Shoulder and Elbow Surgery. 2007,661–6664.    曾裴,杨建平等。儿童陈旧性孟氏骨折的手术治疗。中华骨科杂志,2012,32(5):457~461
小儿骨科
35044
“问倒老师系列”之三:这例髁上骨折需要CRPP吗?
106285
  学生:4岁男孩,摔伤致“右肱骨髁上骨折”,急诊行骨折手法整复,您看复位后位置可以接受吗?  老师:从原始X线片看,正位示轻度尺偏,侧位示肱骨前缘线没有经过肱骨小头,骨折远端轻度向后移位,后方骨皮质部分相连,是典型的Gartland II型骨折。复位后片正位尺偏移位获得纠正,侧位平不标准不能很好判断“前倾角”恢复情况。  学生:伤后5个月时出现明显的肘内翻畸形。出现肘内翻畸形的可能原因有哪些?  老师:核心有两点:a、这是所谓的“尺侧塌陷型”肱骨髁上骨折,冠状面尺侧塌陷、内侧柱短缩、长度丢失,矢状面前倾角变小。冠状面存在“内翻”倾向,单纯的保守治疗难以重建/维持对位,特别是冠状面的对位;b、石膏托屈肘角度明显不足,不能利用充分屈肘时后方骨膜铰链作用维持复位后的稳定性,骨折端存在旋转不稳定,即使初始获得了良好复位,这样不当的外固定也容易导致复位的丢失。这其实是临床最常见但同时又最容易被忽视的导致肘内翻的髁上骨折类型。  学生:那您的治疗选择是?  老师:早期闭合复位经皮穿针固定(CRPP)。手术复位时特别注意需要通过伸肘外翻的手法纠正尺侧塌陷,我习惯3枚克氏针内外侧交叉固定,这样多皮质的固定可以重建并维持内侧柱的长度,从而避免肘内翻的发生。   学生:我看到有文献比较Gartland II型髁上骨折早期CRPP与保守治疗失败后延期CRPP,发现两者治疗结果没有明显区别,您怎么看?  老师:对原始为桡侧塌陷型或桡偏型的或许可以试行保守,如果保守失败(特别是侧位前倾角的丢失)应积极转为手术,对原始尺侧崁插塌陷的我还是建议早期手术内固定。  学生:如果外观看已经出现肘内翻畸形,有学者认为畸形会“随生长发育进行性加重”,建议“等到骨骼发育成熟”再考虑矫形手术,您怎么看?  老师:这是对于儿童创伤后肘内翻比较常见的一个认识上的误区。儿童髁上骨折之后发生的肘内翻畸形,绝大部分是由于骨折畸形愈合引起,畸形一旦出现,就会固定存在,不是所谓的“肘关节骨骺损伤”,畸形不会“随生长发育进行性加重”。另外,肘关节处生长占上肢比重低,因而骨折“塑型”潜力非常低,冠状面的成角畸形尤为如此,所以不应该寄希望于儿童的自我塑型能力。肘内翻如果不积极矫形纠正的话,除了外观不美观,还会由于上肢力线异常而大大增加继发肱骨外髁骨折的风险。一般的,我们矫形的时机是原骨折处已完全愈合,经过功能锻炼已恢复肘关节活动。
小儿骨科
35044
“问倒老师系列”之二:陈旧外髁骨折怎么办?
106284
  摘要:If I have seen further it is by standing on the shoulders of giants. ——Isaac Newton  小编的话:上周开始我们的“问倒老师系列”,有朋友开玩笑说,“没有问倒啊?”^_^虽然叫这个名字,其实,没想真的问倒老师啦。希望一点点能让大家感受到一个学识渊博、旁征博引、富有哲学头脑、经验丰富,同时又幽默风趣的“问不倒的老师”。严格来说,应该是“小儿骨科之问不倒的老师系列”。对于我们的前辈老师们,我们应该时刻怀有尊敬与感恩之心。因为,如牛顿所言:If I have seen further it is by standing on the shoulders of giants.  上周咱们聊的是肱骨外髁骨折初始治疗的一些问题,今天继续聊:原始治疗不当发生骨折不愈合+肘外翻畸形怎么办?  学生:12岁男孩,2岁时有外伤史,无原始片。因右肘外翻和提重物力量差就诊,体格检查右肘关节屈伸功能良好,没有神经受累症状。您的诊断?  老师:我考虑有两种可能,既往发生过肱骨外髁骨折或者肱骨远端全骨骺分离。两者的一个重要区别点就是是否存在外翻不稳定。如有明显的外翻不稳定,则多数情况下应该是陈旧外髁骨折。如果只有外观外翻而没有外翻不稳定,则有可能是很小时候发生的肱骨远端全骺分离长期塑形的结果,也有不愈合的可能,但后者可能性很小,陈旧外髁骨折的可能性大。  学生:如果是陈旧外髁骨折,您的处理意见?需要手术吗?  老师:我会考虑手术。  学生:您手术基于哪些考虑?我可以等肘关节出现疼痛或者尺神经麻痹后再手术可以吗?  老师:几点:a、孩子现有明显的外观畸形,上肢力线异常,附于外髁的前臂伸肌群由于初始长度变短可能会导致一定程度的上肢功能紊乱,就像股骨大转子“over riding”的病人会出现臀中肌跛行道理类似;b、肱桡之间关系“不匹配”,可能导致肘关节不稳定,孩子“提重物力量差”给我们很好的提示;c、显著的肘外翻继发出现尺神经麻痹的风险极高,从医生角度,在预计出现继发损伤之前提前给予干预,中断疾病的自然进程,可能比出现症状以后再行“补救”意义更大。另外,这种情况很少会出现疼痛,尺神经症状一般也会在成年后出现。  学生:如果手术,您会采取什么策略?  老师:手术目的包括“促进不愈合处愈合+肘外翻畸形矫正”,我会做骨折处的原位加压融合+低位肱骨髁上截骨。一个很重要的原则就是不要做切开复位,不要为了试图做切开复位而过度显露剥离不愈合处,否则可能会严重影响骨块的血运,因为肱骨外髁骨块血供主要来自于后方。  学生:不愈合处融合后可能反而会影响肘关节功能吗?  老师:有可能。所以,在融合前要看一下肘关节屈伸活动是否包含假关节成分,如果假关节是参与肘关节屈伸活动的主要部位,那么假关节还不能融合。确定肘关节屈伸活动的方法是麻醉后先用克氏针把外髁骨折块与近端临时固定在一起,然后查肘关节屈伸活动,看肘关节活动度有无变化。如果在临时克氏针固定后肘关节活动度丢失很多,则提示肘关节活动以假关节活动为主,像这种情况假关节就保留,不能直接融合固定。如果肘关节还有一定活动度,那就做融合,其他部分可以通过术后功能锻炼来获得。还有一种就是一半一半,就是临时固定上以后关节活动度减少但还有一定的活动度,比如还有60~90度的活动度这样假关节也是可以愈合的。我个人经验术后功能锻炼好的话也是可以的,一般一年之内肘关节活动可以获得较好恢复。  学生:我看到JBJS有篇文献介绍针对类似畸形的后路原位融合+dome截骨矫形术,您怎么看?  老师:文献核心是对移位不大的外髁骨折不愈合行原位加压以促进愈合,同时做内侧“闭合楔形”截骨纠正肘外翻。肘外翻畸形主要于冠状面,侧方入路就能很好显露,术中用克氏针定位指示截骨方向与水平,似乎没有必要用暴露和损伤相对较大的后侧入路,后方入路发生术后肘关节功能障碍的风险相对较高。因此,我还是习惯采用侧方入路。另外,对于肘内翻畸形的矫正有很多种术式,有研究发现,术式越复杂,术后并发症的风险越高。  学生:做髁上截骨矫形,您会怎么固定?Slongo谈到利用单臂外固定架固定,可以吗?  老师:对于小年龄儿童我会用克氏针固定,青少年可以采用钢板固定。Slongo利用单臂外架行创伤后肘内翻截骨矫形的固定,对三维畸形(冠状面内翻、矢状面前倾丢失、水平面内旋)的纠正可能更有优势。外髁骨折后肘外翻更多是单平面畸形。  学生:单纯内侧入路作内侧闭合楔形截骨,可能会造成明显的机械轴侧移吗?需要遵守下肢畸形矫正的原则吗?  老师:Good boy!外髁骨折以及陈旧外髁不愈合是否出现侧方位移(即肱尺关系异常)与原始骨折类型有关,Milch II型会出现成角+位移,I型则不会,这个孩子虽然外翻明显但并肱尺对位基本正常。  对肘内翻等肘关节成角畸形进行矫正时选择合适的截骨水平及截骨方向,术中辅以克氏针C臂定位,可以达到很好的矫形效果。我们的系列病例中,部分矫形不满意,很多与截骨水平不当有关。  上肢畸形矫正时是否需严格遵循下肢畸形矫正的原则尚待进一步研究。………………………………………………………………………………………………  感谢广州LY提供病例,感谢积水潭Zhang主任的分享……
小儿骨科
35044
“问倒老师系列”之一:这例外髁骨折要手术吗?
106283
  Dr. Yang经常教导我们说,年轻医生要多看多想,多问你的老师,能问倒他才算本事。所以就有了“问倒老师系列”,模仿学生和老师问答的形式。  学生:这是个3岁的男孩,“摔伤左肘5小时”急诊就诊,查体“左肘肿胀,外侧为著,左肘屈伸活动受限”。我诊断是“左肱骨外髁骨折”,对吗?用什么分型?  老师:“肱骨外髁骨折”诊断没错。常用的分型是Milch分型,根据骨折线波及关节内的部位进行分型。Ⅰ型骨折线经过肱骨小头骨化中心,Ⅱ型骨折线经过滑车间沟。后者由于影响了鹰嘴窝与冠突窝的完整性,导致肱尺之间稳定性降低/半脱位,会出现冠状面的外翻成角+尺桡骨近端向桡侧位移,前者更多只是单纯成角。两者间的这种区别在陈旧外髁骨折不愈合病例中表现更明显。  学生:Milch分型是应用很广泛的分型系统,但是我觉得好像对临床治疗的指导意义不大?譬如儿童肱骨髁上骨折的Gartland分型,根据分型我们基本就能确定治疗方案?  老师:Good question。其实还有另外一个分型系统,对临床指导治疗更有意义,就是Jacob分型,根据骨折移位程度进行分型,根据骨折移位的程度和骨折稳定性进行治疗决策的选择:Jacob Ⅰ期可以行石膏托保守治疗,Jacob Ⅱ期可行骨折闭合复位经皮克氏针固定,Ⅲ期需行骨折切开复位内固定。  学生:但是根据平片我们好像并不能判断关节面“铰链”是否连续?  老师:对。Jacob分型Ⅰ型和Ⅱ型其实单纯根据平片并不好鉴别。Finnbogason分型对进一步区分这两者有意义,根据干骺端部分骨折线内外侧是否平行“推测”软骨铰链是否完整。但是,还不能直观的确定骨折是否累及关节软骨面以及软骨铰链是否断裂。  学生:有更直观更准确的影像学方法吗?  老师:可以用MRI,主要看冠状位,看多个连续断面骨折线是否延伸到关节软骨面。像这个5岁的女孩,平片可看到干骺端骨折线移位不大,核磁看软骨铰链完整,应该是Jacob 1期。  学生:要是没有条件做MRI呢?  老师:要是没有条件做MRI,这几点对判断移位程度与稳定性有帮助:a、肘外侧软组织肿胀情况;b、内斜位片;c、内翻应力位片。有一点需要提醒注意的是,“应力位”拍片理论上存在导致骨折移位加大的风险。最关键一点是,当初期无法准确判断时,必须必须做好密切随访,每3~5天需复查拍片了解有无骨折移位加大,不能任其3、4周再复查。  学生:否则呢?  老师:否则容易出现外髁骨折不愈合+肘外翻畸形,外翻畸形可能会呈随年龄进行性严重。  学生:……! But why?  老师:解剖基础在自然病程中起重要作用。肱骨外髁骨折骨折线被关节液浸泡,以及骨折块被伸肌总腱的持续牵拉是其中两个重要因素。
小儿骨科
35044
桡骨远端骨折治疗结果
106139
采用闭合复位,有限克氏针固定+外固定架术。本病例骨折面离关节面偏近,不适合钢板内固定。克氏针固定可控制骨块再移位,保持尺偏掌倾角。外固定架可控制桡骨长度,维持轴向稳定。
上肢骨折
54621

页面

   


骨科在线 北京经纬在线网络科技有限公司

京ICP备15001394号-2 京公网安备11010502051256号

 信息产业部备案管理系统

地址:北京市朝阳区朝阳门北大街乙12号1号楼8层08公寓H

联系电话:010-85615836

Email:orth@orthonline.com.cn